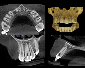
ESCÁNER 3D CBCT
Permite obtener una imagen 3D a través de un proceso de computerizado conectado al escáner.
¿QUÉ ES EL ESCÁNER 3D CBCT?
El avance tecnológico en los últimos años ha sido exponencial, afortunadamente este auge ha alcanzado el ámbito de la Salud, permitiendo el desarrollo de diferentes técnicas y métodos que han permitido brindar un mejor tratamiento a nuestros pacientes y ofrecerles una mejor calidad de vida.
Ahora es posible realizar desde exámenes panorámicos hasta aplicaciones de endodoncia, planificación de implantes, cirugías bucales y aplicaciones de ortodoncia en 3 dimensiones.
- Tecnología 2D que permite obtener imágenes panorámicas en unos pocos segundos , tan solo 7 segundos con la dosis radiologica mínima.
- Las representaciones 3D exactas garantizan los diagnósticos y tratamientos totalmente precisos.
- Las funciones CAD/CAM le permiten realizar más procedimientos en su consulta , permitiendo así un mejor planning entre implantes y protesis.
- El software controla todos los sistemas digitales.
- Proporciona todo lo necesario para procesar, almacenar, recuperar y compartir imágenes de forma rápida y sencilla
- Módulo de planificación de implantes integral incluye bibliotecas de implantes
- Variedad de herramientas de medición y anotación disponibles
- Opciones para compartir múltiples (correo electrónico, CD / DVD, USB, capturas de pantalla y la impresión DICOM
-
Experiencia Profesional: Nuestros ortodoncistas están altamente capacitados y tienen años de experiencia en el campo de la ortodoncia invisible.
-
Tecnología Avanzada: Utilizamos las últimas tecnologías y equipos para asegurar un tratamiento preciso y eficaz.
-
Atención Personalizada: Cada paciente es único, por lo tanto, nos esforzamos por proporcionar una atención personalizada y un plan de tratamiento adaptado a tus necesidades específicas.
-
Resultados Garantizados: Estamos comprometidos con ofrecerte resultados sobresalientes. Trabajaremos contigo para lograr la sonrisa que siempre has deseado.
PRUEBA NUESTRO MÉTODO
PRIMERA CONSULTA GRATUITA, PIDE CITA: 952 58 36 83.
O si prefieres puedes rellenar el formulario y nosotros nos pondremos en contacto contigo.

